Skip to content Skip to sidebar Skip to footer

Multiple Evanescent White Dot Syndrome

Mewds Multiple Evanescent White Dot Syndrome Retina Associates

Mewds Multiple Evanescent White Dot Syndrome Retina Associates

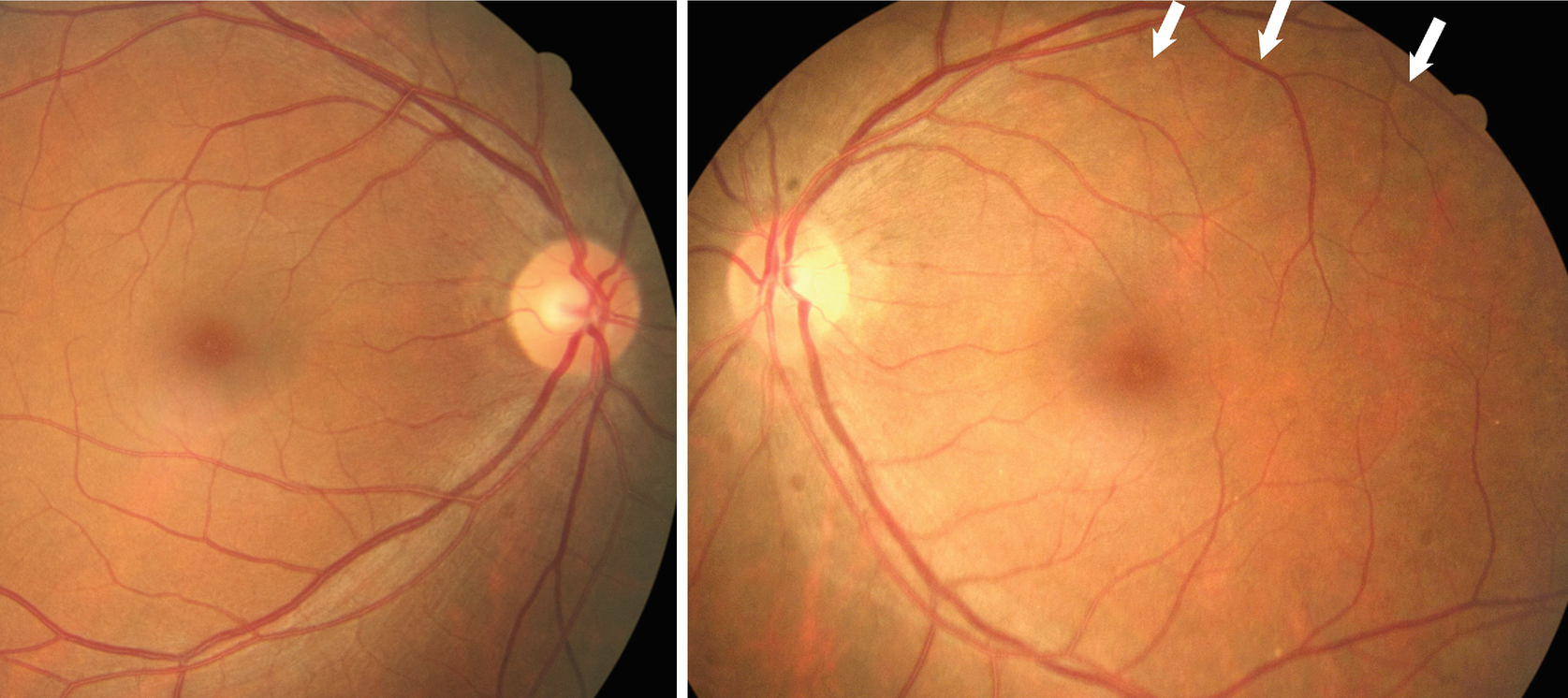
Multiple evanescent white dot syndrome. 1415 One half of patients may have a viral prodrome prior to disease onset. Multiple evanescent white dot syndrome MEWDS is a rare chorioretinal syndrome that usually presents with a unilateral multifocal retinitis affecting mostly young women. Our patient is the typical age and gender.

MEWDS Multiple Evanescent White Dot Syndrome is a rare unilateral self-limiting inflammatory disease that afflicts young women more than men in a 41 ratio. Multiple evanescent white dot syndrome MEWDS is a multifocal retinopathy first described in 1984 that involves mainly the retinal pigment epithelium RPE. The typical patient with MEWDS is a healthy middle aged female age 15-50.

It is most common in healthy young white myopic females and typically has an acute and unilateral presentation. Multiple Evanescent White Dot Syndrome MEWDS is a rare unilateral self-limited disease characterized by multiple small white dots that spontaneously resolve over a period of months. Multiple evanescent white dot syndrome or MEWDS is a rare unilateral self-limited disease characterized by multiple small white dots that spontaneously resolve over a period of months 1.

Multiple evanescent white dot syndrome MEWDS results from idiopathic inflammation of the retina. The disease affects females ranging from 14 to 47 years of age and is preceded by a flu-like illness in approximately half of cases. Despite the lack of treatment the prognosis is excellent.

It belongs to a group of disorders known as white dot syndromes The condition results in signs and symptoms that include vision abnormalities blurred vision and blind spots causing vision loss. Multiple Evanescent White Dot Syndrome is a unilateral inflammatory chorioretinopathy that predominantly affects young healthy women in the second to fourth decades of life. 14 Patients who have MEWDS typically have unilateral acute painless vision loss.

Multiple Evanescent White Dot Syndrome MEWDS is a rare disorder affecting the retina typically of one eye. Multiple Evanescent White Dot Syndrome MEWDS is one of the diagnoses within the family of White Dot White Spot Syndromes first described by Jampol L. Multiple evanescent white dot syndrome MEWDS is an uncommon inflammatory condition of the retina that typically affects otherwise healthy young females in the second to fourth decades of life.

This disease affects mostly young women and the mean age at time of diagnosis is 28 with a reported age range of 10 to 67 years.

Multiple Evanescent White Dot Syndrome Stock Image C030 3696 Science Photo Library

Multiple Evanescent White Dot Syndrome Stock Image C030 3696 Science Photo Library

A Classical Case Of Multiple Evanescent White Dot Syndrome Mewds With Download Scientific Diagram

A Classical Case Of Multiple Evanescent White Dot Syndrome Mewds With Download Scientific Diagram

Multiple Evanescent White Dot Syndrome A Review And Case Report Ryan 2010 Clinical And Experimental Optometry Wiley Online Library

Multiple Evanescent White Dot Syndrome A Review And Case Report Ryan 2010 Clinical And Experimental Optometry Wiley Online Library

Moran Core Mewds Multiple Evanescent White Dot Syndrome

Moran Core Mewds Multiple Evanescent White Dot Syndrome

Multiple Evanescent White Dot Syndrome Mewds

Multiple Evanescent White Dot Syndrome Mewds

Eyerounds Multiple Evanescent White Dot Syndrome Mewds

Eyerounds Multiple Evanescent White Dot Syndrome Mewds

Multiple Evanescent White Dot Syndrome Clinical Course And Factors Influencing Visual Acuity Recovery British Journal Of Ophthalmology

Multiple Evanescent White Dot Syndrome Clinical Course And Factors Influencing Visual Acuity Recovery British Journal Of Ophthalmology

Multiple Evanescent White Dot Syndrome Mewds Springerlink

Multiple Evanescent White Dot Syndrome Mewds Springerlink

Multiple Evanescent White Dot Syndrome Following Influenza Immunization A Multimodal Imaging Study Sciencedirect

Multiple Evanescent White Dot Syndrome Following Influenza Immunization A Multimodal Imaging Study Sciencedirect

Multiple Evanescent White Dot Syndrome Associated With Retinal Vasculi Imcrj

Multiple Evanescent White Dot Syndrome Associated With Retinal Vasculi Imcrj

Figure 1 From Multiple Evanescent White Dot Syndrome Semantic Scholar

Figure 1 From Multiple Evanescent White Dot Syndrome Semantic Scholar

Multiple Evanescent White Dot Syndrome Mewds Recognizing Pathology Optos

Multiple Evanescent White Dot Syndrome Mewds Recognizing Pathology Optos

Multiple Evanescent White Dot Syndrome Mewds

Multiple Evanescent White Dot Syndrome Mewds

Moran Core Mewds Multiple Evanescent White Dot Syndrome

Moran Core Mewds Multiple Evanescent White Dot Syndrome

Moran Core Mewds Multiple Evanescent White Dot Syndrome

Moran Core Mewds Multiple Evanescent White Dot Syndrome

Multiple Evanescent White Dot Syndrome Causes Symptoms Diagnosis Treatment Prognosis

Multiple Evanescent White Dot Syndrome Causes Symptoms Diagnosis Treatment Prognosis

Eyerounds Multiple Evanescent White Dot Syndrome Mewds

Eyerounds Multiple Evanescent White Dot Syndrome Mewds

Multiple Evanescent White Dot Syndrome Mewds Download Scientific Diagram

Multiple Evanescent White Dot Syndrome Mewds Download Scientific Diagram

Multiple Evanescent White Dot Syndrome Ento Key

Multiple Evanescent White Dot Syndrome Ento Key

Multiple Evanescent White Dot Syndrome And Panuveitis A Case Report Journal Of Ophthalmic Inflammation And Infection Full Text

Multiple Evanescent White Dot Syndrome And Panuveitis A Case Report Journal Of Ophthalmic Inflammation And Infection Full Text

Classification Criteria For Multiple Evanescent White Dot Syndrome Sciencedirect

Classification Criteria For Multiple Evanescent White Dot Syndrome Sciencedirect

Suspected Multiple Evanescent White Dot Syndrome Retina Image Bank

Suspected Multiple Evanescent White Dot Syndrome Retina Image Bank

Masqueraders Of Multiple Evanescent White Dot Syndrome Mewds Springerlink

Masqueraders Of Multiple Evanescent White Dot Syndrome Mewds Springerlink

1

1

Multiple Evanescent White Dot Syndrome Mewds Recognizing Pathology Optos

Multiple Evanescent White Dot Syndrome Mewds Recognizing Pathology Optos

Areas Of Hyperautofluorescence In Multiple Evanescent White Dot Download Scientific Diagram

Areas Of Hyperautofluorescence In Multiple Evanescent White Dot Download Scientific Diagram

A Multiple Evanescent White Dot Syndrome Like Reaction To Concurrent Retinal Insults Ophthalmology Retina

A Multiple Evanescent White Dot Syndrome Like Reaction To Concurrent Retinal Insults Ophthalmology Retina

Multiple Evanescent White Dot Syndrome Clinical Course And Factors Influencing Visual Acuity Recovery British Journal Of Ophthalmology

Multiple Evanescent White Dot Syndrome Clinical Course And Factors Influencing Visual Acuity Recovery British Journal Of Ophthalmology

Multiple Evanescent White Dot Syndrome Mewds Semantic Scholar

Multiple Evanescent White Dot Syndrome Mewds Semantic Scholar

Multiple Evanescent White Dot Syndrome Eyewiki

Multiple Evanescent White Dot Syndrome Eyewiki

Atypical Presentation Of Multiple Evanescent White Dot Syndrome Involving Granular Lesions Of Varying Size American Journal Of Ophthalmology

Atypical Presentation Of Multiple Evanescent White Dot Syndrome Involving Granular Lesions Of Varying Size American Journal Of Ophthalmology

Multiple Evanescent White Dot Syndrome Mewds Retina Image Bank

Multiple Evanescent White Dot Syndrome Mewds Retina Image Bank

White Dot Syndromes Eye News

White Dot Syndromes Eye News

Multiple Evanescent White Dot Syndrome American Academy Of Ophthalmology

Multiple Evanescent White Dot Syndrome American Academy Of Ophthalmology

The White Dot Syndromes

The White Dot Syndromes

Recognizing The White Dot Syndromes

Recognizing The White Dot Syndromes

Figure 4 From Bilateral Multiple Evanescent White Dot Syndrome Semantic Scholar

Figure 4 From Bilateral Multiple Evanescent White Dot Syndrome Semantic Scholar

Acquired Focal Choroidal Excavation Associated With Multiple Evanescent White Dot Syndrome Observations At Onset And A Pathogenic Hypothesis Bmc Ophthalmology Full Text

Acquired Focal Choroidal Excavation Associated With Multiple Evanescent White Dot Syndrome Observations At Onset And A Pathogenic Hypothesis Bmc Ophthalmology Full Text

Fundus Autofluorescence In Multiple Evanescent White Dot Syndrome

Fundus Autofluorescence In Multiple Evanescent White Dot Syndrome

Atypical Presentation Of Multiple Evanescent White Dot Syndrome Involving Granular Lesions Of Varying Size American Journal Of Ophthalmology

Atypical Presentation Of Multiple Evanescent White Dot Syndrome Involving Granular Lesions Of Varying Size American Journal Of Ophthalmology

Figure 6 Masqueraders Of Multiple Evanescent White Dot Syndrome Mewds Springerlink

Figure 6 Masqueraders Of Multiple Evanescent White Dot Syndrome Mewds Springerlink

Swept Source Oct In Patients With Multiple Evanescent White Dot Syndrome Journal Of Ophthalmic Inflammation And Infection Full Text

Swept Source Oct In Patients With Multiple Evanescent White Dot Syndrome Journal Of Ophthalmic Inflammation And Infection Full Text

2

2

Multiple Evanescent White Dot Syndrome Associated With Retinal Vasculi Imcrj

Multiple Evanescent White Dot Syndrome Associated With Retinal Vasculi Imcrj

The White Dot Syndromes

The White Dot Syndromes

White Dot Syndrome

White Dot Syndrome

Multimodal Imaging Of Multiple Evanescent White Dot Syndrome Mewds Download Scientific Diagram

Multimodal Imaging Of Multiple Evanescent White Dot Syndrome Mewds Download Scientific Diagram

Clinical Tests Connect The Dots In A Case Of Multiple Evanescent White Dot Syndrome Which Affects Younger Women University Of Utah Health

Clinical Tests Connect The Dots In A Case Of Multiple Evanescent White Dot Syndrome Which Affects Younger Women University Of Utah Health

Https Encrypted Tbn0 Gstatic Com Images Q Tbn And9gcqc0negzpuzevw3c29msqh331kn7vhsiee3rilavh8gd7ha6s51 Usqp Cau

Https Encrypted Tbn0 Gstatic Com Images Q Tbn And9gcqc0negzpuzevw3c29msqh331kn7vhsiee3rilavh8gd7ha6s51 Usqp Cau

Multiple evanescent white dot syndrome MEWDS is an uncommon inflammatory condition of the retina that typically affects otherwise healthy young females in the second to fourth decades of life.

Multiple Evanescent White Dot Syndrome is a unilateral inflammatory chorioretinopathy that predominantly affects young healthy women in the second to fourth decades of life. It belongs to a group of disorders known as white dot syndromes The condition results in signs and symptoms that include vision abnormalities blurred vision and blind spots causing vision loss. Multiple evanescent white dot syndrome MEWDS is a multifocal retinopathy first described in 1984 that involves mainly the retinal pigment epithelium RPE. Multiple evanescent white dot syndrome MEWDS is an uncommon inflammatory condition of the retina that typically affects otherwise healthy young females in the second to fourth decades of life. This disease affects mostly young women and the mean age at time of diagnosis is 28 with a reported age range of 10 to 67 years. The disease affects females ranging from 14 to 47 years of age and is preceded by a flu-like illness in approximately half of cases. It is most common in healthy young white myopic females and typically has an acute and unilateral presentation. Multiple Evanescent White Dot Syndrome MEWDS is a rare unilateral self-limited disease characterized by multiple small white dots that spontaneously resolve over a period of months. MEWDS Multiple Evanescent White Dot Syndrome is a rare unilateral self-limiting inflammatory disease that afflicts young women more than men in a 41 ratio.


Multiple Evanescent White Dot Syndrome MEWDS is a rare unilateral self-limited disease characterized by multiple small white dots that spontaneously resolve over a period of months. Multiple evanescent white dot syndrome or MEWDS is a rare unilateral self-limited disease characterized by multiple small white dots that spontaneously resolve over a period of months 1. Multiple Evanescent White Dot Syndrome is a unilateral inflammatory chorioretinopathy that predominantly affects young healthy women in the second to fourth decades of life. The typical patient with MEWDS is a healthy middle aged female age 15-50. Multiple Evanescent White Dot Syndrome MEWDS is one of the diagnoses within the family of White Dot White Spot Syndromes first described by Jampol L. It belongs to a group of disorders known as white dot syndromes The condition results in signs and symptoms that include vision abnormalities blurred vision and blind spots causing vision loss. Despite the lack of treatment the prognosis is excellent.

Post a Comment for "Multiple Evanescent White Dot Syndrome"