Skip to content Skip to sidebar Skip to footer

Li-fraumeni Syndrome Radiology

Roentgen Ray Reader Li Fraumeni Syndrome

Roentgen Ray Reader Li Fraumeni Syndrome

Li-fraumeni syndrome radiology. Collapse Section Li-Fraumeni syndrome is a rare disorder that greatly increases the risk of developing several types of cancer particularly in children and young adults. Most individuals diagnosed with LFS inherited a TP53 pathogenic variant from a parent. Li-Fraumeni syndrome is caused by an inherited germline pathogenic variant of the TP53 tumor suppressor gene on chromosome 17.

A Meta-analysis These data suggest clinical utility of baseline WBMRI in TP53 germline mutation carriers and may form an integral part of baseline clinical risk management in this high-risk population. Li-Fraumeni syndrome LFS is an inherited familial predisposition to a wide range of certain often rare cancers. The whole exam takes approximately 2 hours though a separate dedicated breast MRI should be performed in women.

The chief advantage of MRI in this setting is its lack of ionizing radiation. This cohort study of patients with Li-Fraumeni syndrome assesses the diagnostic yield and false-positive rate of an annual surveillance program including whole-body magnetic resonance imaging in patients identified as carriers of TP53 gene mutations. Context Individuals with Li-Fraumeni syndrome LFS have an inherited cancer predisposition to a diverse array of malignancies beginning early in life.

In Brazil LFS is characterized by a different pattern of TP53 variants with the founder TP53 pR337H mutation being predominant. Loss of p53 results in increased expression of CD44 a cancer stem cell CSC marker which is involved in the scavenging of reactive oxygen species ROS. Survivors of one cancer have a markedly elevated risk of additional primary tumors.

Li-Fraumeni syndrome also known as SBLA syndrome is due to germline mutations in the gene TP53 p53 an important regulator of apoptosis and the cell cycle ie. This is due to a change mutation in a tumor suppressor gene known as TP53. 39 rows Approximately 80 of families with the features of Li-Fraumeni Syndrome.

The resulting p53 protein produced by the gene is damaged or otherwise rendered malfunctioning and is unable to help prevent malignant tumors from developing. The proportion of individuals with a de novo germline TP53 pathogenic variant is estimated to be between 7 and 20. It is implicated in a very large number of sporadic cancer.

Annual Brain MRI CPT 70553 may be performed as part of Whole Body MRI or as. Li-Fraumeni syndrome LFS is a hereditary cancer predisposition syndrome that is commonly associated with a germline mutation in the tumor suppressor gene p53.

Whole Body Magnetic Resonance Imaging Of Li Fraumeni Syndrome Patients Observations From A Two Rounds Screening Of Brazilian Patients Cancer Imaging Full Text

Whole Body Magnetic Resonance Imaging Of Li Fraumeni Syndrome Patients Observations From A Two Rounds Screening Of Brazilian Patients Cancer Imaging Full Text

Whole Body Magnetic Resonance Imaging Of Li Fraumeni Syndrome Patients Observations From A Two Rounds Screening Of Brazilian Patients Cancer Imaging Full Text

Whole Body Magnetic Resonance Imaging Of Li Fraumeni Syndrome Patients Observations From A Two Rounds Screening Of Brazilian Patients Cancer Imaging Full Text

A 16 Year Old Female With Li Fraumeni Syndrome Presenting With A Download Scientific Diagram

A 16 Year Old Female With Li Fraumeni Syndrome Presenting With A Download Scientific Diagram

Cancer Screening Protocol For Patients With Li Fraumeni Syndrome National Cancer Institute

Cancer Screening Protocol For Patients With Li Fraumeni Syndrome National Cancer Institute

Li Fraumeni Will The Detection In Families Increase The Survival Of Its Members Anales De Pediatria

Li Fraumeni Will The Detection In Families Increase The Survival Of Its Members Anales De Pediatria

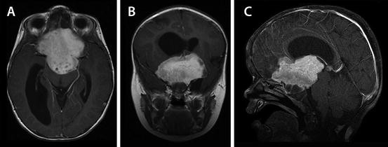
Li Fraumeni Syndrome Multiple Distinct Brain Tumours In Two Brothers Sciencedirect

Li Fraumeni Syndrome Multiple Distinct Brain Tumours In Two Brothers Sciencedirect

Li Fraumeni Syndrome Multiple Distinct Brain Tumours In Two Brothers Sciencedirect

Li Fraumeni Syndrome Multiple Distinct Brain Tumours In Two Brothers Sciencedirect

Li Fraumeni Syndrome Body Mri

Li Fraumeni Syndrome Body Mri

Prevalence Of Cancer In Li Fraumeni Syndrome Cohort Cancer Epidemiology Jn Learning Ama Ed Hub

Prevalence Of Cancer In Li Fraumeni Syndrome Cohort Cancer Epidemiology Jn Learning Ama Ed Hub

Whole Body Magnetic Resonance Imaging Of Li Fraumeni Syndrome Patients Observations From A Two Rounds Screening Of Brazilian Patients Cancer Imaging Full Text

Whole Body Magnetic Resonance Imaging Of Li Fraumeni Syndrome Patients Observations From A Two Rounds Screening Of Brazilian Patients Cancer Imaging Full Text

Genetic Syndromes With Central Nervous System Tumors Charmi

Genetic Syndromes With Central Nervous System Tumors Charmi

Cureus Surveillance Screening In Li Fraumeni Syndrome Raising Awareness Of False Positives

Cureus Surveillance Screening In Li Fraumeni Syndrome Raising Awareness Of False Positives

Mri In A 19 Year Old Man With Li Fraumeni Syndrome Status Post Download Scientific Diagram

Mri In A 19 Year Old Man With Li Fraumeni Syndrome Status Post Download Scientific Diagram

The First Pancreatic Neuroendocrine Tumor In Li Fraumeni Syndrome A Case Report Bmc Cancer Full Text

The First Pancreatic Neuroendocrine Tumor In Li Fraumeni Syndrome A Case Report Bmc Cancer Full Text

Mri In A 19 Year Old Man With Li Fraumeni Syndrome Status Post Download Scientific Diagram

Mri In A 19 Year Old Man With Li Fraumeni Syndrome Status Post Download Scientific Diagram

Genetic Syndromes Associated With Central Nervous System Tumors Radiographics

Genetic Syndromes Associated With Central Nervous System Tumors Radiographics

Cancer Screening Protocol For Patients With Li Fraumeni Syndrome National Cancer Institute

Cancer Screening Protocol For Patients With Li Fraumeni Syndrome National Cancer Institute

Clinical Response To A Lapatinib Based Therapy For A Li Fraumeni Syndrome Patient With A Novel Her2v659e Mutation Cancer Discovery

Clinical Response To A Lapatinib Based Therapy For A Li Fraumeni Syndrome Patient With A Novel Her2v659e Mutation Cancer Discovery

Radiologist S Primer On Imaging Of Common Hereditary Cancer Syndromes Radiographics

Radiologist S Primer On Imaging Of Common Hereditary Cancer Syndromes Radiographics

Mri In A 19 Year Old Man With Li Fraumeni Syndrome Status Post Download Scientific Diagram

Mri In A 19 Year Old Man With Li Fraumeni Syndrome Status Post Download Scientific Diagram

Surveillance Of Dutch Patients With Li Fraumeni Syndromethe Life Guard Study Jama Oncology X Mol

Surveillance Of Dutch Patients With Li Fraumeni Syndromethe Life Guard Study Jama Oncology X Mol

Genetic Syndromes Associated With Central Nervous System Tumors Radiographics

Genetic Syndromes Associated With Central Nervous System Tumors Radiographics

Cureus Surveillance Screening In Li Fraumeni Syndrome Raising Awareness Of False Positives

Cureus Surveillance Screening In Li Fraumeni Syndrome Raising Awareness Of False Positives

Epithelioid Angiomyolipoma In A Patient With Li Fraumeni Syndrome Rare Pathologic Diagnosis Aace Clinical Case Reports

Epithelioid Angiomyolipoma In A Patient With Li Fraumeni Syndrome Rare Pathologic Diagnosis Aace Clinical Case Reports

Should Radiation Therapy Be Avoided In Choroid Plexus Carcinoma Patients With Li Fraumeni Syndrome Consult Qd

Should Radiation Therapy Be Avoided In Choroid Plexus Carcinoma Patients With Li Fraumeni Syndrome Consult Qd

Increasing Genomic Instability During Cancer Therapy In A Patient With Li Fraumeni Syndrome Sciencedirect

Increasing Genomic Instability During Cancer Therapy In A Patient With Li Fraumeni Syndrome Sciencedirect

Management Of Orbital Rhabdomyosarcoma In A Child With Li Fraumeni Syndrome Journal Of American Association For Pediatric Ophthalmology And Strabismus Jaapos

Management Of Orbital Rhabdomyosarcoma In A Child With Li Fraumeni Syndrome Journal Of American Association For Pediatric Ophthalmology And Strabismus Jaapos

All In The Family Children S Hospital Of Philadelphia

All In The Family Children S Hospital Of Philadelphia

Genetic And Functional Analysis Of A Li Fraumeni Syndrome Family In China Scientific Reports

Genetic And Functional Analysis Of A Li Fraumeni Syndrome Family In China Scientific Reports

Synchronous Choroid Plexus Papilloma And Wilms Tumor In A Girl Disclosing A Li Fraumeni Syndrome Hereditary Cancer In Clinical Practice Full Text

Synchronous Choroid Plexus Papilloma And Wilms Tumor In A Girl Disclosing A Li Fraumeni Syndrome Hereditary Cancer In Clinical Practice Full Text

Radiologist S Primer On Imaging Of Common Hereditary Cancer Syndromes Radiographics

Radiologist S Primer On Imaging Of Common Hereditary Cancer Syndromes Radiographics

Difficulties Of Management Of Multiple Synchronous Bone Tumors In Li Fraumeni Syndrome

Difficulties Of Management Of Multiple Synchronous Bone Tumors In Li Fraumeni Syndrome

Pdf Pecoma In A Young Patient With Known Li Fraumeni Syndrome Semantic Scholar

Pdf Pecoma In A Young Patient With Known Li Fraumeni Syndrome Semantic Scholar

Cureus Surveillance Screening In Li Fraumeni Syndrome Raising Awareness Of False Positives

Cureus Surveillance Screening In Li Fraumeni Syndrome Raising Awareness Of False Positives

Dana Farber S Li Fraumeni Syndrome Whole Body Mri Study Living Lfs Li Fraumeni Syndrome

Dana Farber S Li Fraumeni Syndrome Whole Body Mri Study Living Lfs Li Fraumeni Syndrome

Li Fraumeni Syndrome Eurorad

Li Fraumeni Syndrome Eurorad

2

2

Pediatric Case Of Li Fraumeni Syndrome In Honduras

Pediatric Case Of Li Fraumeni Syndrome In Honduras

P53 Therapy In A Patient With Li Fraumeni Syndrome Molecular Cancer Therapeutics

P53 Therapy In A Patient With Li Fraumeni Syndrome Molecular Cancer Therapeutics

Oral Rehabilitation Of A Patient With Li Fraumeni Syndrome A Clinical Case Report Medcrave Online

Oral Rehabilitation Of A Patient With Li Fraumeni Syndrome A Clinical Case Report Medcrave Online

Familial Syndromes Springerlink

Familial Syndromes Springerlink

Whole Body Mri In Paediatric Oncology Sciencedirect

Whole Body Mri In Paediatric Oncology Sciencedirect

Treatment And Preventive Screening Li Fraumeni Syndrome Association

Treatment And Preventive Screening Li Fraumeni Syndrome Association

Breast Cancer Patient With Li Fraumeni Syndrome A Case Report Highlighting The Importance Of Multidisciplinary Management Semantic Scholar

Breast Cancer Patient With Li Fraumeni Syndrome A Case Report Highlighting The Importance Of Multidisciplinary Management Semantic Scholar

Li Fraumeni Syndrome Meta

Li Fraumeni Syndrome Meta

Familial Syndromes Springerlink

Familial Syndromes Springerlink

Whole Body Magnetic Resonance Imaging In Children State Of The Art

Whole Body Magnetic Resonance Imaging In Children State Of The Art

A Young Adult Patient With Li Fraumeni Syndrome Associated Glioblastoma Case Discussion And Literature Review Wu X Tian S Liang B Yang Q Ng H Wu S Chang Q Chen Zp Glioma

A Young Adult Patient With Li Fraumeni Syndrome Associated Glioblastoma Case Discussion And Literature Review Wu X Tian S Liang B Yang Q Ng H Wu S Chang Q Chen Zp Glioma

2

2

The Li-Fraumeni Syndrome LFS is a hereditary cancer predisposition syndrome first reported in 1969 by Drs.

Li-Fraumeni syndrome LFS is an inherited familial predisposition to a wide range of certain often rare cancers. Li Fraumeni Syndrome MRI can be used to evaluate the whole body to detect tumors in Li-Fraumeni syndrome. Adults 18 years with a diagnosis of Li-Fraumeni Syndrome LFS may be screened for malignancy with a Whole Body MRI CPT 76498 on an annual basis. The chief advantage of MRI in this setting is its lack of ionizing radiation. 39 rows Approximately 80 of families with the features of Li-Fraumeni Syndrome. The resulting p53 protein produced by the gene is damaged or otherwise rendered malfunctioning and is unable to help prevent malignant tumors from developing. Li-Fraumeni syndrome also known as SBLA syndrome is due to germline mutations in the gene TP53 p53 an important regulator of apoptosis and the cell cycle ie. Survivors of one cancer have a markedly elevated risk of additional primary tumors. This is due to a change mutation in a tumor suppressor gene known as TP53.


Li-Fraumeni syndrome is also known as the Sarcoma Breast Leukemia and Adrenal Gland SBLA cancer syndrome. Context Individuals with Li-Fraumeni syndrome LFS have an inherited cancer predisposition to a diverse array of malignancies beginning early in life. Leukemia and tumors of the brain soft tissues breasts adrenal glands and bone are the most common cancers associated with this syndrome. The proportion of individuals with a de novo germline TP53 pathogenic variant is estimated to be between 7 and 20. In Brazil LFS is characterized by a different pattern of TP53 variants with the founder TP53 pR337H mutation being predominant. The Li-Fraumeni Syndrome LFS is a hereditary cancer predisposition syndrome first reported in 1969 by Drs. Frederick Li and Joseph Fraumeni from the National Cancer Institute.

Post a Comment for "Li-fraumeni Syndrome Radiology"