Skip to content Skip to sidebar Skip to footer

Verfärbt Tee Die Zähne

Zahnverfarbung Verfarbte Zahne Ursachen Und Therapie

Zahnverfarbung Verfarbte Zahne Ursachen Und Therapie

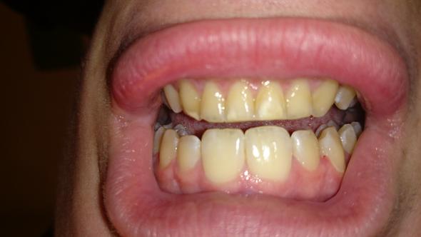
Verfärbt tee die zähne. Kräutertees zum Beispiel Ingwertee oder Minztee sowie Früchtetees färben weder am Tassenrand noch an den Zähnen. Bestimmte Lebensmittel wie Kaffee Tee Gewürze aber auch Zigaretten und bestimmte Medikamente können die Zähne verfärben. Manchmal als komplette Verfärbungen aber auch nur als gelbe Zahnflecken auf den Zähnen.

Dass Kaffee und schwarzer Tee unsere Zähne verfärben ist allgemein bekannt. Doch es gibt auch fiese Zahnverfärber wie Balsamico oder spezielle Mundspüllösungen an die keiner denkt. Tee kann die Zähne stärker verfärben als Kaffee was wiederum an den Gerbstoffen liegt die sich an den Zähnen festsetzen.

Die Antwort ist simpel. Daran Schuld sind unter anderem Gerbstoffe der Teeblätter die auch im Schwarz- und Kräuteraufguss enthalten sind. Nach meinen Erfahrungen führt Rauch gefolgt von schwarzem Tee grüner Tee weniger aber auch ebenso leider auch manche Kräutertees.

Für die weitere Diagnose ist zu klären ob es sich um eine äußere oder innere Verfärbung handelt. Das gilt allerdings bei weitem nicht für alle Sorten von Tee sondern nur für einige Ausnahmen. Ein guter Indikator dafür wie stark der Tee eure Zähne verfärben kann sind die Teerückstände am leeren Tassenrand.

Verursacht Tee verfärbte Zähne. Wenn es um die Ursachen von Zahnverfärbungen geht ist Schwarzer Tee sogar ein noch größerer Übeltäter als Kaffee. Trinken Sie viel Kaffee oder Tee.

Der bräunliche Belag ist nur oberflächlich. Kräutertees zum Beispiel Ingwertee oder Minztee sowie Früchtetees färben weder am Tassenrand noch an den Zähnen. Allerdings können Zinnfluorid und Chlorhexidin die Spülungen meist enthalten um Plaque zu reduzieren die Zähne verfärben.

Wenn du häufig Tee trinkst dann kann die Folge davon auch eine leichte Zahnverfärbung sein welche durch die Tannine im. Meistens ist die Ursache der gelben bis braunen Verfärbungen täglicher Genuss von Kaffee schwarzem Tee oder Rauchen.

Zahnverfarbung Verfarbte Zahne Ursachen Und Therapie

Zahnverfarbung Verfarbte Zahne Ursachen Und Therapie

Gelbe Zahne Zahnverfarbungen Ursachen Behandlung Hilfe Medlexi De

Gelbe Zahne Zahnverfarbungen Ursachen Behandlung Hilfe Medlexi De

Braune Flecken Auf Den Zahnen Ursachen Behandlung Vorbeugung Gesundpedia De

Braune Flecken Auf Den Zahnen Ursachen Behandlung Vorbeugung Gesundpedia De

Braune Flecken Auf Den Zahnen Heilpraxis

Braune Flecken Auf Den Zahnen Heilpraxis

Zahn Gelb Braun Verfarbt Wie Zerkratzt Zahnschmelz Karies Zahne Zahnmedizin Zahnstein

Zahn Gelb Braun Verfarbt Wie Zerkratzt Zahnschmelz Karies Zahne Zahnmedizin Zahnstein

Gelbe Zahne Zahnverfarbungen Ursachen Behandlung Hilfe Medlexi De

Gelbe Zahne Zahnverfarbungen Ursachen Behandlung Hilfe Medlexi De

Was Ist Mit Meinen Zahnen Los Seitlich Braunlich Verfarbt Medizin Zahne Zahnarzt

Was Ist Mit Meinen Zahnen Los Seitlich Braunlich Verfarbt Medizin Zahne Zahnarzt

Zahnverfarbungen Entstehung Vorbeugung

Zahnverfarbungen Entstehung Vorbeugung

Zahnverfarbungen Netdoktor At

Zahnverfarbungen Netdoktor At

Tee Trinker Aufgepasst So Macht Tee Die Zahne Weiss Desired De

Tee Trinker Aufgepasst So Macht Tee Die Zahne Weiss Desired De

Was Ist Mit Meinen Drei Zahnen Los Angst Zahne Zahnarzt

Was Ist Mit Meinen Drei Zahnen Los Angst Zahne Zahnarzt

Https Www Xn Liebezhne 02a De Weisse Zaehne Bekommen

Https Www Xn Liebezhne 02a De Weisse Zaehne Bekommen

Bleaching Oder Hausmittel Was Hilft Gegen Zahnverfarbungen

Bleaching Oder Hausmittel Was Hilft Gegen Zahnverfarbungen

Zahnverfarbung Wikipedia

Zahnverfarbung Wikipedia

Gelbe Zahne Ursachen Behandlung Hausmittel Netdoktor

Gelbe Zahne Ursachen Behandlung Hausmittel Netdoktor

Zahnverfarbungen Das Hilft Wirklich

Zahnverfarbungen Das Hilft Wirklich

Zahnverfarbungen Durch Tee Rainer Kristek

Zahnverfarbungen Durch Tee Rainer Kristek

Britische Studie Darum Ist Fruchtetee Fur Unsere Zahne Gefahrlich Ratgeber Bild De

Britische Studie Darum Ist Fruchtetee Fur Unsere Zahne Gefahrlich Ratgeber Bild De

Zahnverfarbungen Ursachen Und Losungen Zahnarztpraxis Dr Langenbach

Zahnverfarbungen Ursachen Und Losungen Zahnarztpraxis Dr Langenbach

Weisse Zahne Wie Sie Zahnverfarbungen Optimal Vorbeugen Dentolo

Weisse Zahne Wie Sie Zahnverfarbungen Optimal Vorbeugen Dentolo

Schwarze Zahne Konnen Schmerzfrei Behandelt Werden

Schwarze Zahne Konnen Schmerzfrei Behandelt Werden

Zahnsteinentfernung

Zahnsteinentfernung

Grunde Fur Zahnverfarbungen Smile Id Essen

Grunde Fur Zahnverfarbungen Smile Id Essen

Https Encrypted Tbn0 Gstatic Com Images Q Tbn And9gct6owf7txf3cawpf9edbf9x0hsmfxo9mwv1aawwzlko9brcodhy Usqp Cau

Https Encrypted Tbn0 Gstatic Com Images Q Tbn And9gct6owf7txf3cawpf9edbf9x0hsmfxo9mwv1aawwzlko9brcodhy Usqp Cau

Gelbe Zahnverfarbung Zahne Verfarbung Weisser

Gelbe Zahnverfarbung Zahne Verfarbung Weisser

Welcher Tee Verfarbt Nicht Die Zahne Woman At

Welcher Tee Verfarbt Nicht Die Zahne Woman At

Zahn Bleaching S Aesthetic

Zahn Bleaching S Aesthetic

Braune Flecken Auf Den Zahnen Ursachen Behandlung Hilfe Medlexi De

Braune Flecken Auf Den Zahnen Ursachen Behandlung Hilfe Medlexi De

Was Tun Gegen Zahnverfarbungen Zahne Zahnpflege Mundhygiene

Was Tun Gegen Zahnverfarbungen Zahne Zahnpflege Mundhygiene

Welche Lebensmittel Verfarben Die Zahne Fit For Fun Wissen

Welche Lebensmittel Verfarben Die Zahne Fit For Fun Wissen

W Gelbe Zahne Ursachen Behandlung Und Mittel 2020

W Gelbe Zahne Ursachen Behandlung Und Mittel 2020

So Werden Zahne Wieder Richtig Weiss Mdr Jump

So Werden Zahne Wieder Richtig Weiss Mdr Jump

Schlimmer Als Karies Kreidezahne Sind Volkskrankheit Bei Kindern Gesundheit Br Fernsehen Fernsehen Br De

Schlimmer Als Karies Kreidezahne Sind Volkskrankheit Bei Kindern Gesundheit Br Fernsehen Fernsehen Br De

1 Kaffee Am Tag Vefarben Zahne Gesundheit Und Medizin Verfarbung

1 Kaffee Am Tag Vefarben Zahne Gesundheit Und Medizin Verfarbung

Warum Sind Meine Zahne Gelb Ursachen Und Behandlung Von Verfarbungen Praxis Fur Zahnmedizin

Warum Sind Meine Zahne Gelb Ursachen Und Behandlung Von Verfarbungen Praxis Fur Zahnmedizin

Zahnverfarbung Milch Im Tee Verhindert Das Verfarben Der Zahne Stimmt S Zeit Online

Zahnverfarbung Milch Im Tee Verhindert Das Verfarben Der Zahne Stimmt S Zeit Online

Dr Felicia Burger Zahnarztin Hirtenberg Bei Baden Triestingtal

Dr Felicia Burger Zahnarztin Hirtenberg Bei Baden Triestingtal

Gelbe Zahne Massnahmen Durch Die Du Weisse Zahne Erhaltst

Gelbe Zahne Massnahmen Durch Die Du Weisse Zahne Erhaltst

Welche Genuss Und Lebensmittel Zahne Verfarben Medentes

Welche Genuss Und Lebensmittel Zahne Verfarben Medentes

Wenn Zahne Verkalken Leben

Wenn Zahne Verkalken Leben

Forscher Enthullen Mit Diesem Trick Macht Tee Ihre Zahne Weiss Weekend At

Forscher Enthullen Mit Diesem Trick Macht Tee Ihre Zahne Weiss Weekend At

Zahne Aufhellen Hausmittel Und Tipps Furs Zahnbleaching

Zahne Aufhellen Hausmittel Und Tipps Furs Zahnbleaching

Gelbe Zahne Diese 16 Lebensmittel Sorgen Fur Farbschleier

Gelbe Zahne Diese 16 Lebensmittel Sorgen Fur Farbschleier

Amazon De Remos Zahnradierer Zahnpolierer Bei Zahnverfarbung Durch Tabak Tee Kaffee Wein

Amazon De Remos Zahnradierer Zahnpolierer Bei Zahnverfarbung Durch Tabak Tee Kaffee Wein

Gelbe Zahne Diese 16 Lebensmittel Sorgen Fur Farbschleier

Gelbe Zahne Diese 16 Lebensmittel Sorgen Fur Farbschleier

Hauptursachen Fur Verfarbte Zahne Cb12 De

Hauptursachen Fur Verfarbte Zahne Cb12 De

Einzelzahnaufhellung Bleaching Zahnarztpraxis Daugs In Ilsede

Einzelzahnaufhellung Bleaching Zahnarztpraxis Daugs In Ilsede

Das Schmelzoberhautchen Oft Verfarbt Attraktiv Durch Ungetrubte Zahne Haut De

Das Schmelzoberhautchen Oft Verfarbt Attraktiv Durch Ungetrubte Zahne Haut De

Https Encrypted Tbn0 Gstatic Com Images Q Tbn And9gcqvirmllukcy4izeuql3jdmsbfcmxjyu R2c3laeiwsf8cnc7mg Usqp Cau

Https Encrypted Tbn0 Gstatic Com Images Q Tbn And9gcqvirmllukcy4izeuql3jdmsbfcmxjyu R2c3laeiwsf8cnc7mg Usqp Cau

Allerdings können Zinnfluorid und Chlorhexidin die Spülungen meist enthalten um Plaque zu reduzieren die Zähne verfärben.

EuskirchenKöln Dass Kaffee schwarzer Tee und Nikotin die Zähne braun machen weiß jeder. Manchmal als komplette Verfärbungen aber auch nur als gelbe Zahnflecken auf den Zähnen. Die Zahnverfärbung wird durch die natürlichen Antioxidantien im Schwarzen Tee so genannte Tannine hervorgerufen. Je stärker die sind desto stärker verfärbt der Tee auch eure Zähne. Der bräunliche Belag ist nur oberflächlich. Verursacht Tee verfärbte Zähne. EuskirchenKöln Dass Kaffee schwarzer Tee und Nikotin die Zähne braun machen weiß jeder. Doch es gibt auch fiese Zahnverfärber wie Balsamico oder spezielle Mundspüllösungen an die keiner denkt. Für die weitere Diagnose ist zu klären ob es sich um eine äußere oder innere Verfärbung handelt.


Je stärker die sind desto stärker verfärbt der Tee auch eure Zähne. Für die weitere Diagnose ist zu klären ob es sich um eine äußere oder innere Verfärbung handelt. EuskirchenKöln Dass Kaffee schwarzer Tee und Nikotin die Zähne braun machen weiß jeder. Kräutertees zum Beispiel Ingwertee oder Minztee sowie Früchtetees färben weder am Tassenrand noch an den Zähnen. Ein guter Indikator dafür wie stark der Tee eure Zähne verfärben kann sind die Teerückstände am leeren Tassenrand. Dass Kaffee und schwarzer Tee unsere Zähne verfärben ist allgemein bekannt. Doch es gibt auch fiese Zahnverfärber wie Balsamico oder spezielle Mundspüllösungen an die keiner denkt.

Post a Comment for "Verfärbt Tee Die Zähne"